Minsa: 19 casos de osteogénesis imperfecta se registraron en enero del 2022
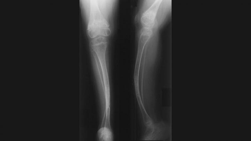
La osteogénesis imperfecta es un trastorno genético en el cual los huesos se fracturan con facilidad, algunas veces sin un motivo aparente. También puede causar músculos débiles, dientes quebradizos, una columna desviada y pérdida del sentido del oído. Según información del Ministerio de Salud (Minsa), solo en enero del 2022 se reportaron 19 casos de pacientes con este trastorno.
También se precisó que durante el 2021 se registraron 248 casos.
El reporte del año 2020 se vio afectado por la pandemia del covid-19, debido a la disminución de presencia de pacientes en las Instituciones Prestadoras de Servicios de Salud (Ipress), es por ello que solo se reportaron 95 casos.
En tanto, en el año 2019 se reportaron 466 casos de pacientes con osteogénesis imperfecta en 22 regiones del país, siendo Lima la que registró mayor número con 394 casos (84.5 %). La mayor concentración se encontró en el grupo etario menor de 11 años con 331 casos (71.0 %). Las regiones que no notificaron casos en ese periodo fueron: Madre de Dios, Arequipa y Amazonas.
La osteogénesis imperfecta es causada por uno o varios genes que no funcionan bien. Esto afecta la manera en que el cuerpo produce colágeno, una proteína que ayuda a fortalecer los huesos. Puede variar desde leve hasta severa y los síntomas varían de una persona a otra. Un individuo puede tener apenas algunas fracturas o alcanzar varios cientos de fracturas en toda la vida.
No existe una prueba específica para la Osteogénesis imperfecta. Para su diagnóstico se puede usar la historia clínica y familiar, un examen físico y test de imágenes. También se podría hacer un examen de colágeno (de la piel) o genético (de sangre).
Cabe señalar que no existe una cura, pero los síntomas pueden controlarse. Los tratamientos incluyen ejercicio, analgésicos, fisioterapia, siendo necesario el uso de sillas de ruedas, aparatos dentales y cirugía.
/ES/NDP/








